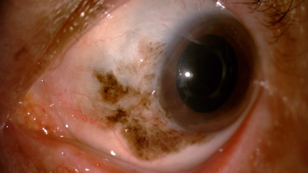
A Melanose Primária Adquirida (PAM) é uma condição caracterizada pelo aparecimento de manchas marrons na conjuntiva, que podem se desenvolver ao longo do tempo. Embora muitas vezes seja benigna, a PAM pode evoluir para um melanoma de conjuntiva, um tipo de câncer ocular, exigindo acompanhamento oftalmológico regular.
A doença é mais comum em pacientes idosos e pessoas de pele clara, sendo fundamental o diagnóstico precoce para reduzir os riscos de complicações.
Sinais e Sintomas da Melanose Primária Adquirida
A PAM geralmente se manifesta como uma pigmentação irregular e plana na conjuntiva, sem causar dor ou sintomas visuais. Os principais sinais incluem:
- Manchas marrons ou acastanhadas na conjuntiva, que podem aumentar com o tempo.
- Pigmentação difusa, sem elevação ou espessamento.
- Alterações na cor ou no tamanho da lesão, o que pode indicar risco de transformação maligna.
O diagnóstico é feito por meio de exame oftalmológico detalhado com equipamentos especializados para avaliar a progressão da pigmentação. Em alguns casos, uma biópsia pode ser necessária para descartar a presença de células atípicas.

Quando a PAM Pode Se Tornar Perigosa?
Nem toda melanose primária adquirida evolui para câncer, mas alguns fatores podem aumentar o risco de transformação maligna. O oftalmologista avaliará características como:
- Presença de células atípicas, indicadas na biópsia.
- Aumento rápido da pigmentação.
- Mudanças na aparência da lesão, como espessamento ou irregularidade.
Pacientes com essas características devem ser acompanhados regularmente para monitoramento da evolução.
Tratamento da Melanose Primária Adquirida
O tratamento depende do grau de risco e pode incluir:
- Acompanhamento oftalmológico com fotografias periódicas, para observar qualquer alteração.
- Remoção cirúrgica, recomendada quando há risco de transformação maligna.
- Crioterapia (congelamento das células pigmentadas), para eliminar possíveis células anormais.
- Colírios de quimioterapia (Mitomicina C), utilizados para reduzir a proliferação celular e evitar a progressão da doença.
A escolha do tratamento é feita de forma personalizada, levando em consideração a localização, extensão e evolução da pigmentação.
Por Que Escolher a Clínica Belfort?
A Clínica Belfort conta com uma equipe altamente qualificada para o diagnóstico e tratamento da Melanose Primária Adquirida (PAM). Utilizamos tecnologia avançada para exames detalhados e acompanhamento contínuo, garantindo um tratamento seguro e eficaz para cada paciente.
Nosso compromisso é prevenir complicações, preservar a visão e oferecer a melhor abordagem para a saúde ocular.
Notou uma mancha na conjuntiva? Agende uma consulta na Clínica Belfort para um diagnóstico detalhado e acompanhamento especializado!
👉 Agende sua consulta aqui